気管支拡張症
鼻や口から肺に至る空気の通り道を気道と言い,上気道と下気道に分けられます。下気道は,気管から,気管支,肺までのことで,呼吸器内科が担当します。気管支は気管から木の枝を逆さまにしたように分岐していき,肺の中に空気を運ぶ通路の役割をしますが,何らかの原因で,気管支が拡がってしまった状態を気管支拡張といいます。血痰,喀血の原因として重要な疾患の一つです。
特徴
気管支拡張症は気管支が非可逆的な拡張をきたしたため,気管支が拡がってしまい元に戻らなくなります。男性よりも女性に多いとされ,日本人では約 25000人が気管支拡張症にかかっていると言われています。原因は,先天的な原因のほか,気道の感染,炎症を繰り返すことなどで,気管支壁が壊れ,弱くなることにより発病します。気管支は,一度破壊されると細菌などの感染の場となり,さらなる気管支壁の破壊を繰り返す悪循環に至り,気管が拡張していきます。気管支が拡張すると,気管支の浄化作用が低下し,痰がたまって細菌などが繁殖しやすく気管支炎や肺炎に罹りやすくなります。また,拡張した気管支には血管が増え,血痰や喀血も出現することがあります。病状が進行すると次第に肺の機能が低下してゆきます。
症状
症状として多いのは,痰や咳であり,時に繰り返し肺炎をおこす場合もあります。血痰や喀血もよくみられ,時に大量の喀血を起こすことがあります。自覚症状が,まったくない場合もあります。
診断
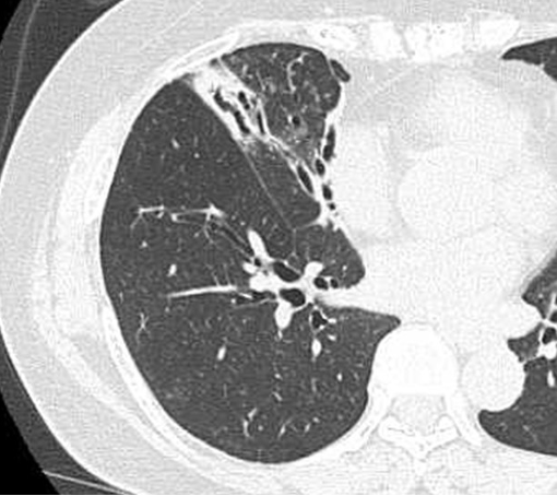
健康診断等での胸部単純エックス線画像で,気管支壁の肥厚や嚢胞状に拡張した気管支所見が認められ診断されることもありますが,軽度な症例では はっきりしないこともあります。最も有用な診断方法は胸部CTです。特に高分解能CT(HRCT)の普及により,無症状の気管支拡張症が発見されることが多くなっています。また感染が疑われる場合は病原菌を同定するために痰の培養検査を行います。喀血が多い時は,気管支鏡検査で気管内腔を確認したり,血管造影を行い異常血管を確認することがあります。

気道の拡張:2つ以上の気道の内腔が近接する動脈径より大きいことにより判断します。signet ring sign(体軸横断像で肥厚,拡張した気道がより口径の小さい動脈に接している像)と呼ばれます。

正常な気管支の先細りがないことにより,ほぼ胸膜まで中サイズの気管支が可視化されまず。軌道陰影(tram lines)と呼ばれます。
治療
症状が安定している時期は,痰をできるだけ切って気管支の中をきれいにしておくことが必要であるため,気道のクリーニングを目的としての治療を行います。去痰薬の内服,体位変換による排痰促進が重要です。また痰を切れやすくするため,水分補給も有効です。さらに症状の軽減や炎症を抑えることを目的にマクロライド系抗菌薬を長期内服場合もあります。
風邪などをきっかけに,肺炎や気管支炎を合併した時や,発熱や痰の量が増えた時は,感染の原因となる細菌に対して適切な抗生物質を使って感染を抑えます。
血痰を伴っているときは,止血剤の内服を行います。血痰が続く時は,止血剤の注射の他,大量の喀血を認める際には,血管造影を行い,出血に関わっている気管支動脈を同定し,その血管をふさいでしまう気管支動脈塞栓術も行います。感染や喀血を繰り返し,気管支拡張の部分が限局している場合,手術で拡張した気管支を含む肺を切除することもあります。
生活上の注意として,定期的な診察と適切な治療の継続,感染予防などの体調管理が大切です。気管支拡張のある方は,気道感染症により症状が悪化,また病気自体が進行しますので,風邪などにかからないように注意してください。また痰はためないようにしてください。
予後
予後は,気管支拡張の程度や範囲,感染の合併に程度などで異なります。病状が進行すると肺の機能が低下するため,感染を繰り返し気管支壁の破壊を繰り返す悪循環に至らないように注意する必要があります。